Histology and Histomorphometry
We routinely prepare and analyse human (biopsies) and mouse bone tissues for static (on decalcified samples) and dynamic histomorphometry (on undecalcified samples). We also extend our histological expertise to some soft tissues (including frozen sample preparation and sectioning), upon request.

Histology
Bone samples follow a standardised processing protocol:
- Fix tissue
- Decalcify (Paraffin wax embedding)
- Process (Dehydrate)
- Embed
- Paraffin wax
- LR White Resin
- Section
- Stain
- IHC/IF
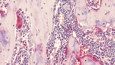
- H&E, TRAP, Goldner etc
We use general as well as bone specific histological stains:
- Standard techniques such as haematoxylin and eosin, toludine and Alcian blue.
- More specific stains such as Von Kossa and modified Goldner’s Trichrome (mineralised tissue), and tartrate-resistant acid phosphatase (TRAP) staining to identify osteoclast cells.
We also use a range of fluorochromes to document bone deposition and remodelling on undecalcified samples.
Histomorphometry
Using two image analysis systems, we have the technology to perform static histomorphometric analysis to quantify parameters such as the number of osteoblasts and osteoclasts, bone surfaces and osteoid, as well as dynamic histomorphometry to measure bone formation rates using multiple fluorescent dye labels.
Osteomeasure image analysis system
The Osteomeasure image analysis system has a manual tiling system allowing quantification in different fields of view. It is used for measuring eg TRAP stained slides or dual calcein labels on mouse bone sections.
Bioquant Osteo system
The Bioquant Osteo system has an automatic microscope stage for accurate tiling across many slide fields. It is used specifically for human bone biopsy analysis.
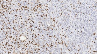
Immunohistochemistry and immunofluorescence
We provide an extensive service for chromogenic and fluorescence labelling of frozen and formalin fixed tissue. We offer a bespoke service, including establishing protocols, optimising primary antibodies and determining suitable antigen retrieval. Essential Positive and Negative Controls are used to support correct interpretation.